Skip to main content

Advertisement

General

Man Ruptures His Throat After Holding In A Sneeze

Main image via Medizzy + Allergy Guardian

Have you ever held in a sneeze? When you can feel a big sneeze coming but you’re just not in a position to let it out so you pinch your nose and cover your mouth in hopes that it’ll stop?

Advertisement

Well one guy did just that and unfortunately he ruptured his throat in the process.

via GIPHY

With the current pandemic, we’re no strangers to giving someone the side eye and moving away when they sneeze in public.

A 34-year-old man from Leicester, UK, however found out the hard way that holding in a sneeze may be more dangerous.

Described as “previously fit and well”, the unnamed man attempted to stop a powerful sneeze by “pinching the nose and holding his mouth closed.”

He then realised that something was wrong.

via GIPHY

The man realised that it hurt when he swallowed and noticed that there was a change in his voice. Then, his neck started to swell up and when he tried to move it, there was an unsettling popping and crackling sensation.

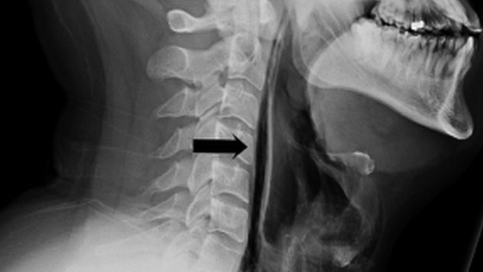
The 34-year-old was rushed to the emergency department at Britain’s Leicester Royal Infirmary and his x-rays revealed that there were “streaks of air” embedded in the soft tissue of his neck – a condition known as subcutaneous emphysema and pneumomediastinum.

In simple terms, the man had literally ruptured his throat by trying to suppress the full force of his sneeze. The air that would have been expelled through the sneeze backfired and instead made its way into his soft tissue as tiny bubbles.

man ruptures his throat after holding in a sneeze Image via Medizzy

A week or so later however, the man recovered enough to leave the hospital and at his follow-up two months later, he was given a clean bill of health. Upon leaving the hospital, the man was adviced by his doctor to “avoid obstructing both nostrils while sneezing.”

This of course is a rare case. According to head and neck surgeon Dr. Zi Yang Jiang, such an accident is “exceedingly rare” and he only sees one or two such cases a year.

“Halthing a sneeze via blocking nostrils and mouth is a dangerous manoeuvre and should be avoided,” said doctors at the ENT department at the Leicester Royal Infirmary.

“It may lead to numerous complications, such as pneumomediastinum [air trapped in the chest between both lungs], perforation of the tympanic membrane [perforated eardrum], and even rupture of a cerebral aneurysm [ballooning blood vessel in the brain],” they added.

via GIPHY

So now you know that holding in a sneeze may be a lot more dangerous than you think!

But before you let out that sneeze, grab a tissue or find a way to cover your mouth so you don’t spread your germs!

Stay safe, stay home and don’t forget to let that sneeze out!

Info via Medizzy + NPR + Astro Awani

Related Article

HITZ Malaysia's #1 Hit Station